ARIETTA 750

Advanced guidance for the most critical surgical decisions

Recognized for our outstanding image quality, outstanding system reliability, and intuitive use of cutting edge technology, Fujifilm Healthcare remains the standard in the field of surgery.

ARIETTA 750

Designed by surgeons… for surgeons

The ARIETTA 750 has many advanced and unique probes that fully cover the expanding range of procedures that benefit from ultrasound guidance.

See All Transducers
transducers

State-of-the-art digital architecture and advanced imaging features

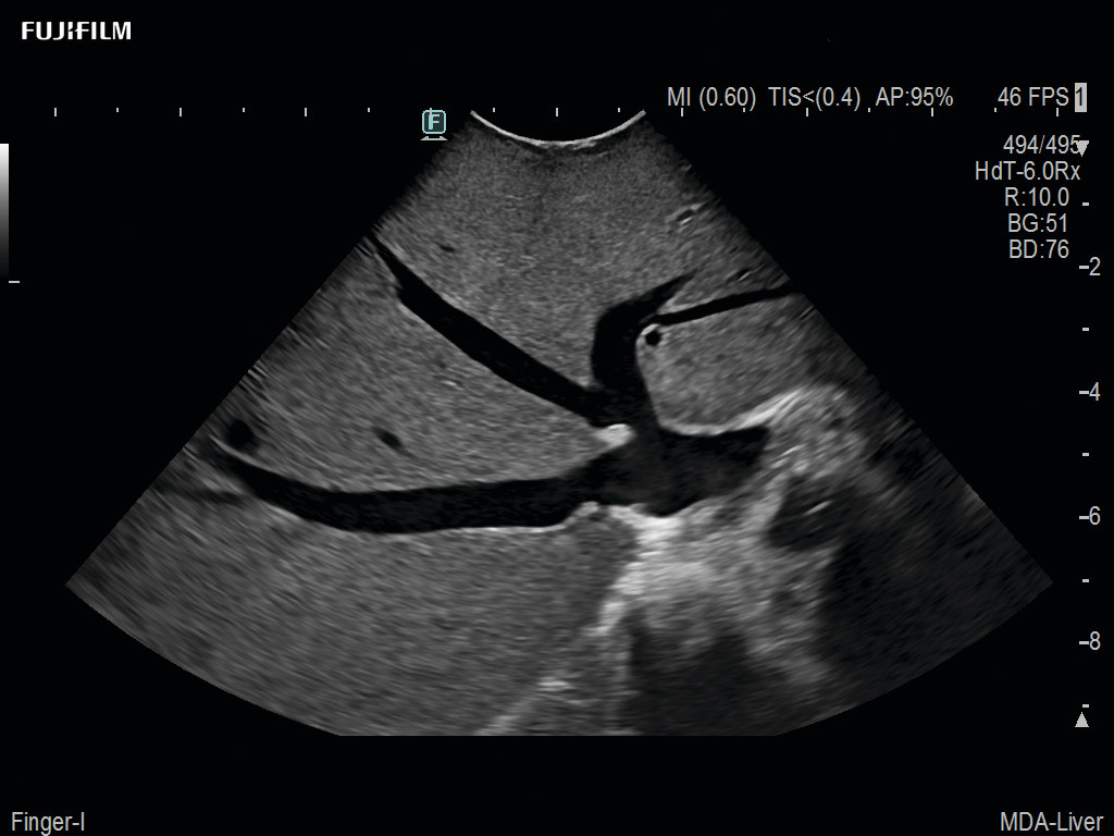
Liver Surgery Procedure using C22I

Curved array deep penetration “I” style finger-grip transducer for open kidney surgical procedures. Allows for palpating organs and scanning at the same time.

Liver Surgery Procedure using C22I
Laparoscopic Partial Nephrectomy& Hepatectomy using C9150LA

Curved array 4-way laparoscopic transducer for better visualization of targeted lesions, providing instant feedback on tumor margin delineation.

Laparoscopic Partial Nephrectomy& Hepatectomy using C9150LA
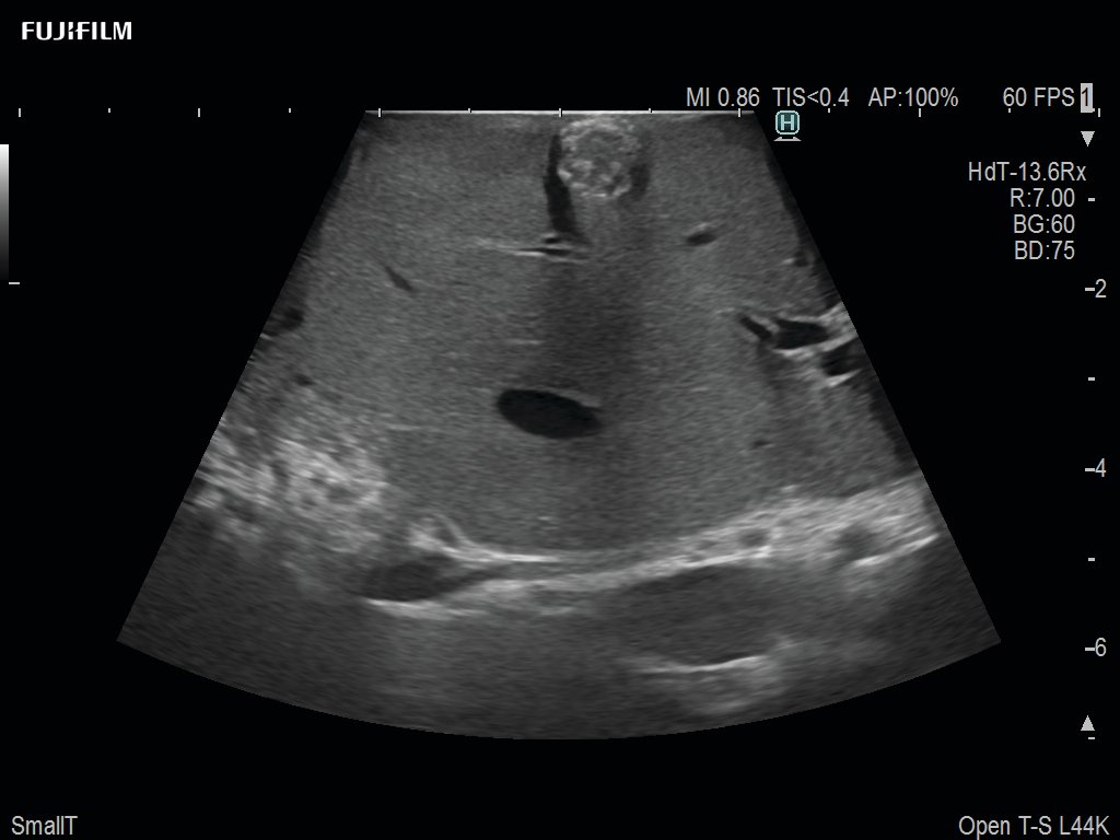
Liver Ablation Procedure using L44K

Linear array side-fire “T” transducer for open surgical procedures, providing exceptional near and far-field resolution.

Liver Ablation Procedure using L44K
Liver Metastasis using L46K1

Wide-view side-fire “T” transducer for open surgical procedures, providing exceptional near and far-field resolution, as well as trapezoid imaging to further expand visibility.

Liver Metastasis using L46K1
Burr Hole Procedure using S31KP

The world’s only phased array burr-hole transducer that is ideal for scanning during burr-hole guidance procedures. It offers a unique bayonetted design & exceptional near and far-field resolution.

Burr Hole Procedure using S31KP
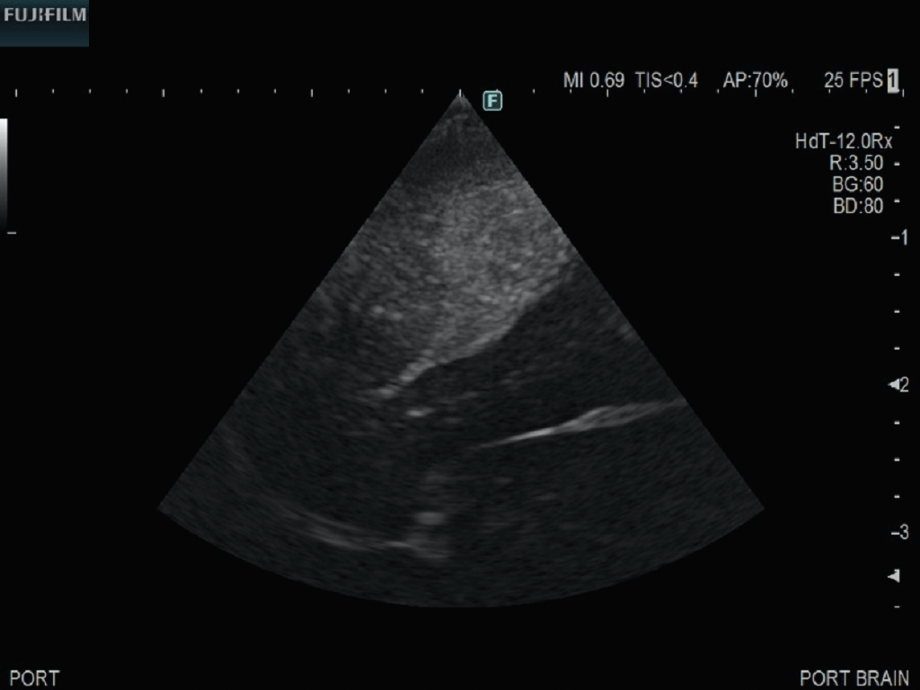
Pituitary Procedure using UST-5311

Exclusive 10mm side-fire linear array transducer with 2.87mm diameter is ideal for real-time visualization through and behind structures and instant, scalable definition of anatomy and vascularity including the ability to delineate and define tumor margins. 

Pituitary Procedure using UST-5311
Subcortical Procedure using S12BP4

Subcortical guidance with precise access, improved efficiency and better results.

Subcortical Procedure using S12BP4
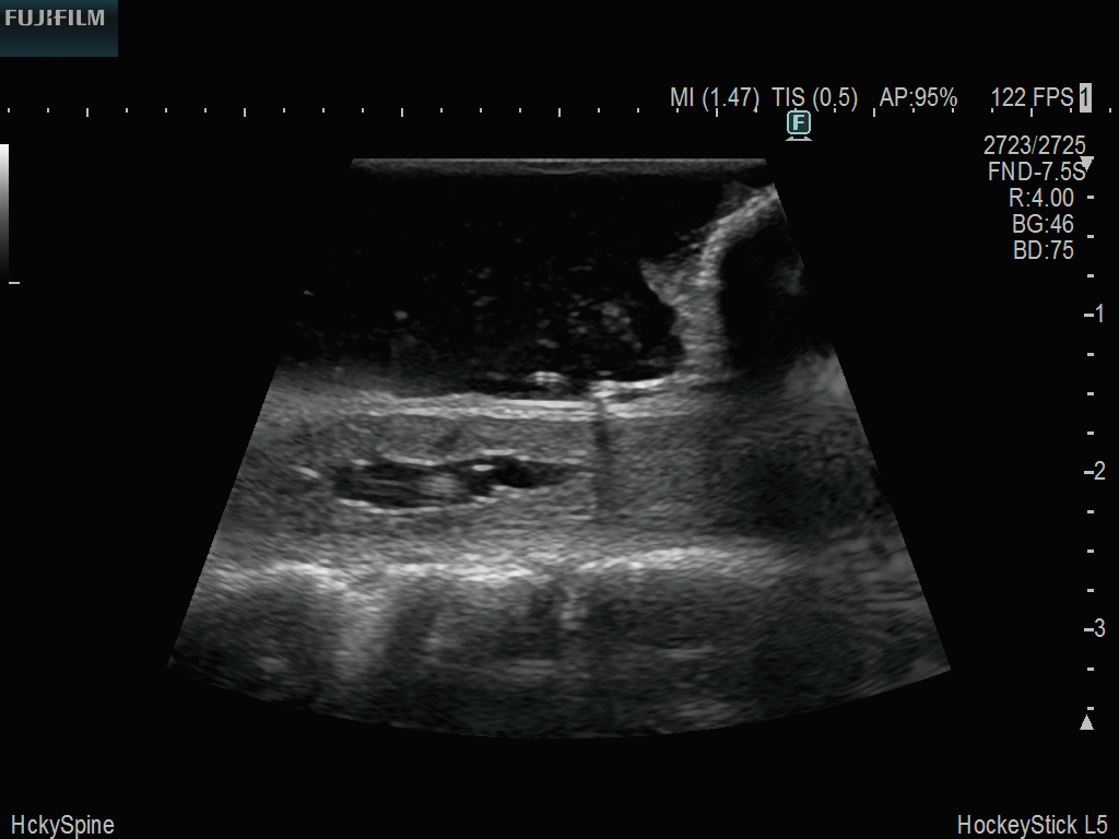
Spinal Procedure using L53K

Hockey-stick linear array transducer is the transducer of choice for spinal scanning, providing exceptional near and far-field resolution. Its low profile design lends itself perfectly to the spatial confines of spinal surgery.

Spinal Procedure using L53K

Features

Designed to provide maximum simplicity, user efficiency, and portability. From its compact footprint to its intuitive, time-saving user interface, the ARIETTA 750 was engineered for the increasing workloads of today’s busy surgical environments.

ARIETTA 750

Visibility

Tilt, swivel, and height adjustable. Designed specifically for the OR.

PROGRAMMABLE PRESETS

Fully customizable presets for each user.

Efficient Workflow

Utilize the pre-set configurations, easy transducer selection, and optimized image allocation, all with the touch of just a few buttons.

LCD Monitor

With a high contrast ratio and wide viewing angle, the 23 inch LCD monitor gives a rich representation of the display image.

Hygienic

Smooth surfaces for easy wipe-down. Compatible with commonly used disinfectants.

Mobility

Easily moves from room to room, delivering real-time guidance effortlessly.

Imaging Clearly Defined

State-of-the-art digital architecture and advanced imaging features to redefine the capabilities of surgical ultrasound.

This website uses cookies. By using this website you consent to our use of these cookies. For more information visit our Privacy Policy.

Got it